نگرش گشتالتی و ادراک
غلامحسین مقدم حیدری
شکل مقابل را در نظر بگیرید. ما در آن صرفاً چهار نقطه نمى بینیم،
بلکه مىتوانیم یک مربع را تشخیص دهیم: این دقیقاً یک «تجربه گشتالتى» است. درواقع ما به جاى مجموع اجزاء (نقاط)، یک «کل»یکپارچه (مربع) را درک مىکنیم و این نکته اصلى روانشناسى گشتالت است: «کل بیش از مجموع اجزایش است». یعنى مربعى که مىبینیم خاصیت منحصربه فردى است که در خود نقاط ظاهر نمىشود. این نگرش روانشناسى گشتالت منبعث از مفهوم بسیار مهم «کل گرایى» است. کل گرایى، اعتراضى در برابر مفهوم «جزءگرایى» است که پیوستگى ساده اى بین اجزاء و کل فرض مىکند. جزءگرایى در مواردى کاملاً به جا است. مثلاً کار یک ساعت مکانیکى را مىتوان از روى ارتباط موجود میان اجزایش به خوبى فهمید. اما سیستمهاى معینى وجود دارند که نمىتوانند دقیقاً به عنوان مجموع اجزایشان توصیف شوند. فرایندهاى روانشناختى را مىتوان از این جمله دانست. اصطلاح کل گرایى را اولین بار «جان کریستین اسماتز» در کتاب کلگرایى و تکامل (۱۹۲۶) به کار برد. او معتقد بود نگرش مکانیکى نمایانگر مجموعه هایى است که قابل تقسیم به اجزایشان هستند، بدون آنکه کیفیتشان از بین رود. درحالىکه نگرش کل گرایى به بررسى «کل هایى» مىپردازد که بدون از بین رفتن کیفیتشان قابل تقسیم به اجزایشان نیستند.
البته مفهوم کل گرایى قبل از اسماتز در فلسفه هایى همچون فلسفه هگل نقش مهمى بازى مىکرد. هگل قصد داشت نظریه اى ارگانیستى از تاریخ بشر ارائه دهد. وى یگانگى بنیادین تاریخ را با توده ملت، و نه افراد، مرتبط مى دانست. از نظر وى یک ملت بیش از مجموع شهروندانش است و فرهنگ، سنتها و روح آن از وجود اعضایش مستقل است. تاریخ نمىتواند به فعالیت افراد منوط شود. به زبان کل گرایى، ملت هگل یعنى ملتى «مقدم بر» شهروندانش؛ کلى مقدم بر اجزایش.
به علاوه، براى توصیف ارتباط جزء کل، بین شهروندان و ملت، هگل فرض مهم روانشناسان را افزود که طبق آن نقش یک فرد را نقش وى در ملت تعیین مىکند. اساساً در کل گرایى هگلى، کل داراى هدف و قصدى است که به واسطه آن اجزایش مىتوانند شناخته شوند، درحالىکه آن هدف و قصد را نمىتوان به مَدد فهم یکایک آن اجزاء به دست آورد.
ادراک فرایند واحدى است که در آن حس با معنا و معنا با حس ارتباط متقابل دارند و به طور همزمان رُخ مىدهند. بدینصورت که شخص به ندرت چیزى را بدون آنکه به برخى از اهداف او مربوط باشد، حس مىکند.
کل گرایى به واسطه کوشش براى تبیین ادراک شکلهاى هندسى و ملودى هاى موسیقى، طلایه دار روانشناسى شد. «کریستیان فُن ارنفلز» یکى از پیشگامان روانشناسى گشتالت، معتقد است یک مربع قابل تحویل به ترکیبى از خطوط نیست. در موردى مشابه، وى استدلال مىکند که یک ملودى به منزله مجموعهاى از نُت هاى منفرد درک نمىشود. ارنفلز بر آن بود که تبیین ادراک الگوهاى یکپارچه مستلزم عنصر جدید «کیفیت گشتالتى» است. مربع به صورت ترکیبى از چهار خط به علاوه عنصرى از کیفیت گشتالتى، و یک ملودى به صورت ترکیبى از نُت به علاوه عنصرى از کیفیت گشتالتى درک مىشود. براى ارنفلز کیفیت گشتالتى عنصرى است که در ترکیب با عناصر دیگر، تجربه مفهومى یکپارچهاى از «شکل»(۳۶) را بهوجود مىآورد. برعکس، روانشناسان گشتالتى بر این باورند که ادراک شکل به واسطه قرار گرفتن عنصرى اضافى به وجود نمىآید بلکه از هیأت کلى و ذاتى اجزاء ناشى مىشود. این تفاوت از آنجا ناشى مىشود که براى ارنفلز بخشها مقدم بر کل هستند، درحالىکه براى روانشناسان گشتالتى، کل مقدم بر اجزاء است. به طورکلى، نظریه گشتالت را مىتوان بدین صورت بیان کرد: «کل هایى وجود دارند که رفتارشان را به وسیله اجزاى متشکله آنها نمىتوان تعیین کرد، بلکه رفتار هر جزء از چنین کل هایى بسته به ماهیت درونى آن کل تعیین مىشود»
در پرتو چنین نگرشى، «ادراک» معنایى متفاوت با آنچه که مورد نظر پوزیتیویستها و نگتیویستهاست، مىیابد، طبق نظر تجربه گرایان منطقى، ادراک در فرایندى مانند جریان کارکردن دستگاه عکاسى محقق مىشود. اندامهاى حسى، محیط مادى و اجتماعى را عیناً دریافت و آن را به سلسله اعصاب گزارش مىکنند. تنها پس از این گزارش است که شخص به آنچه احساس شده، معنایى مىدهد. از این دیدگاه، حس قبل از معنا تحقق مىیابد و حس کردن و یافتن معنا، دو فرایند جداگانه اند. حال آنکه در پرتو نگرش کل گرایى روانشناسى گشتالتى، ادراک فرایند واحدى است که در آن حس با معنا و معنا با حس ارتباط متقابل دارند و به طور همزمان رُخ مىدهند. بدینصورت که شخص به ندرت چیزى را بدون آنکه به برخى از اهداف او مربوط باشد، حس مىکند. همین وابستگى به هدف به مثابه امرى کیفى، معنى شىء را تعیین مىکند. اگر فرد معنایى را در شىء خارجى نیابد، بدان بى توجه خواهد بود. شخص هدفدار جنبه هایى از محیط را فعالانه جستوجو مىکند که به او کمک کرده یا مانع او مىشوند. به همین دلیل، شخص نسبت به آن جنبه ها حساس مىشود. علاوه بر آن، معناى یک حس یا ادراک همیشه به تمام موقعیت وابسته است. شىء خارجى به مثابه رابطه اى در میدان روانشناختى ادراک مىشود که این میدان شامل شىء بیننده و زمینه روانى پیچیده اى است که اهداف و تجربه هاى قبلى بیننده را هماهنگ مىکنند. براى روشن تر شدن مطلب به بررسى نمونه هایى از ادراکات بصرى مىپردازیم: شکل مقابل را نگاه کنید، چه مىبینید؟

آنچه مىبینیم مجموعه اى از خطوط معوج به رنگ سفید است که به هم متصل و سطوحى را محصور کرده اند. تصویر تقریباً نسبت به خط فرضی اى که از بالا به پایین کشیده شده و از وسط آن مىگذرد، متقارن است. دو سطح خاکسترى رنگ در سمت راست و چپ بالاى تصویر و دو سطح مشکى متقارن در سمت راست و چپ پایین تصویر وجود دارد. ضمناً در میانه عکس، سطح باریکى از بالا به پایین کشیده شده است. این باریکه داراى خطوط معوج مشکى است که تقریباً نسبت به خط فرضى متقارن اند. دوست پزشکى که کنارمان نشسته است با لبخندى بر لب مىگوید: این تصویر بخشى از سر انسان است که با اشعه ایکس و به روش سىتى اسکن گرفته شده است. اکنون خطوط کمى برایمان با معنى تر مىشوند. طبق نظریه هاى اتمى که در فیزیک دبیرستانى یا سالهاى آغازین دانشگاه خوانده ایم، اشعه ایکس از گوشت و پوست عبور مىکند اما از استخوان نه. بنابراین هنگامى که یکى از اعضاى بدن در معرض آن قرار مىگیرد، تصویر استخوانهاى آن عضو بر روى فیلم رادیولوژى نقش مىبندد، تصویرى که استخوانها در آن به صورت خطوطى سفید دیده مىشوند. پس خطوط سفید تصویر فوق استخوانهاى سر یک انسان اند. احتمالاً قسمت میانى که به صورت طولى از بالا به پایین کشیده شده، همان بینى است. به نظر مىرسد که دو سطح خاکسترى سمت راست و چپ بالاى تصویر جاى چشمها باشند. از این رو، تصویر نسبت به خط فرضى اى که از بینى مىگذرد تقارن دارد. اما سطوح مشکى چه هستند؟
دوست پزشک ما براى گویاترشدن تصویر مىگوید این یک عکس رادیولوژى از سینوسهاى شخصى بیمار است. دو ناحیه مشکى ، سینوسها هستند که کنار بینى، زیر چشمان و بالاى آرواره زِبرین قرار گرفته اند. ناحیه خاکسترى اهمیت خاصى دارد. اگر عرض این ناحیه بیش از سه میلىمتر باشد، غیرطبیعى بودن سینوسها را نشان مىدهد. متأسفانه در عکس فوق، پهناى این ناحیه نشان از غیرطبیعى بودن سینوسهاى این فرد دارد. ضمناً مجارى موجود در ناحیه میانى ترشحات سینوسها را از راه بینى به بیرون هدایت مىکنند. همانطور که در تصویر ملاحظه مىشود، این مجارى مسدودند و همین باعث دردهاى شدیدى در ناحیه سر مىشود.
دوست پزشک ما بسیارى از چیزهایى را مىبیند که ما اصلاً بدانها توجهى نداشته ایم. چرا؟ زیرا او با نظریه هایى که عکسهاى سىتى اسکن را تعبیر و تفسیر مىکنند، آشناست و از تمام نظریه هاى پزشکى که به توصیف و تشخیص امراض گوش و حلق و بینى مىپردازند، آگاهى دارد. کار و هدف او تشخیص بیمارى است. از اینرو وقتى با تصویر سىتى اسکن فوق مواجه مىشود، به دنبال لکه ها و خطوطى مىگردد که نشانه عارضه اى در سینوسهاى فرد بیمار باشد تا با این روش بتواند بیمارى فرد را تشخیص دهد. ما نیز به میزانى که از این نظریه ها آگاه باشیم خطوط و لکه هاى روشن و تاریک تصویر برایمان داراى معنا خواهد بود و مىتوانیم برخى از مشاهدات پزشک درباره تصویر مزبور را بیان کنیم؛کما اینکه شناخت ما از اشعه ایکس و نظریه هاى مرتبط با آن سبب شد تا استخوانهاى سَرِ فرد و جمجمه او را تشخیص دهیم.
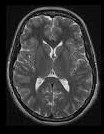
حال به تصویر مقابل توجه کنید و بگویید چه مىبینید.
چیز خاصى نمىتوان گفت، همان چیزى را مىبینیم که در عکس به چشم مىخورد و واقعاً نمىتوان گفت که این عکس شبیه چه چیزى است. شاید عکس مغز گردو است. دوست پزشک ما لبخندى مىزند و سپس مىگوید: عکس مغز است، اما نه مغز گردو بلکه مغز انسان؛ یک عکس MRI از مغز انسان. اما دوست پزشک ما نیز بیش از این نمىتواند درباره عکس صحبت کند و به نظر او براى اینکه بدانیم عکس مزبور چه چیزى درباره مغز فرد مىگوید باید آن را پیش متخصص عکسبردارى MRIببریم. با کمال تعجب به دوستمان مىگوییم چرا خودت درباره عکس نظر نمىدهى؟ وى مىگوید: این شیوه نوین، با عکسبردارى با اشعه ایکس متفاوت است. این نوع عکسبردارى به وسیله میدانهاى مغناطیسى انجام مىشود و وقتى من پزشکى مىخواندم، این شیوه مرسوم نبود و هیچ آموزشى در این مورد ندیده ام. تنها، متخصص عکسبردارى MRIاست که مىتواند درباره عکس نظر دهد. سپس عکس را به یک متخصص نشان مىدهیم. وى با دیدن عکس در مورد مناطق سیاه، روشن و خاکسترى عکس توضیحات مفصلى مىدهد، توضیحاتى که بسیارى از آنها را نمى فهمیم. اما سرانجام به این نتیجه مىرسیم که اگر مغز سالم بود، هنگام قرار گرفتن در حوزه مغناطیسى به شکل خاصى درمىآمد که این عکس آن شکل را ندارد. میزان تاریکى ها و روشنى هاى عکس به گونه اى است که نشان مىدهد شخص مبتلا به بیمارى آلزایمر است.
بخش اعظم تجربه هاى پیشین ما را آموزش هاى مدرسه و دانشگاه تشکیل مىدهد. و چون شیوه تصویربردارى MRI در هیچ جاى این تجربه قرار ندارد، نه تنها نمىتوانیم در مورد نوع بیمارى فرد اظهارنظر کنیم بلکه حتى نمىدانیم تصویر مزبور تصویر چه چیزى است.
مىخواهیم از امروز یک دانشمند واقعى باشیم و شرط اولش آن است که چشمها را باز کنیم و به طور دقیق هرآنچه را مشاهده مىکنیم، ثبت کنیم. اتفاقاً دوست فیزیکدانى داریم که روزى ما را به اتاق خود دعوت مىکند. در اتاقش محفظه شیشه اى دربسته اى، شبیه آکواریم، توجه ما را به خود جلب مىکند. دوست ما که این موضوع را فهمیده است مىگوید این محفظه پُر از بخار الکل است. سپس پرده هاى اتاق را مىکشد و چراغها را خاموش مىکند تا فضاى اتاق کاملاً تاریک شود. آنگاه لامپ پشت محفظه اى را، که اتاق اَبرش مى نامد، روشن مىکند و ما را مقابل آن مى نشاند و مىخواهد هرآنچه را مىبینیم براى او بازگو کنیم. ما هم که تصمیم گرفته ایم از امروز یک دانشمند تمام عیار باشیم به دقت به محفظه شیشه اى نگاه مىکنیم. مدتى مىگذرد و چیزى جز ابرى از بخار که در داخل محفظه بالا و پایین مىرود، نمىبینیم. دوست فیزیکدانمان که سردرگمى ما را مىبیند براى کمک، تصویرى از محفظه مىگیرد و مقابلمان مىگذارد و مىگوید: حالا به این تصویر نگاه کن و بگو چه مىبینى.
با ناامیدى مىگوییم: هیچ چیز فقط همان ابر الکل. دوست فیزیکدان با کمى تأمل، با انگشت دست به مسیرى روى عکس اشاره مىکند و مىگوید: «این مسیر حرکت الکترون است، همان الکترون معروف در اتم». سپس مسیرى را در جهتى دیگر نشان مىدهد و مىگوید: «این مسیر حرکت یک میون است. خطوطى که در تصویر مىبینى مسیر حرکت ذرات بنیادى در اتم هستند».
آنچه که اصطلاحاً مشاهدات خالص تجربى مىنامیم، به نظریه هاى موجود در جامعه اى که فرد مشاهده گر در آن آموزش دیده است، بستگى دارد.
وقتى چشمان بُهت زده ما را مىبیند، ادامه مىدهد: طبق نظریه هاى اختر فیزیک پس از انفجار بزرگ که سبب به وجود آمدن کُل جهان شد، ذرات کیهانى همراه با گسترش فضا زمان در حال پراکنده شدن هستند. این ذرات مثل باران بر روى زمین مى بارند و با گذشتن از لایه هاى جوّ به سطح زمین مىرسند. این ذرات وقتى داخل محفظه پر از بخار مىشوند، سبب یونیزه شدن مولکولهاى الکل مىشوند و همین مولکولها مسیر حرکت ذرات را در داخل محفظه نشان مىدهند. طبق نظریه کوانتوم، از روى جهت این مسیرها و شعاع دایرهاى که طى مىکنند مىتوانیم نوع ذره را مشخص کنیم. این پدیده به بارش اشعه کیهانى در اتاق اَبر ویلسون معروف است.
مشاهدات فیزیکدان ما بر شانه هاى نظریه هاى نسبیت، کوانتوم، پیدایش عالم و برخى نظریه هاى شیمى در باب یونیزاسیون قرار گرفته است. همین نظریه ها وى را در مقابل آنچه در تصویر مىبیند حساس مىکند. وى به دنبال خطوط خاصى در تصویر مىگردد و با تحلیل مسیر این خطوط از وجود ذرات بنیادى در اتاق اَبر خبر مىدهد. درواقع، این نظریه ها به او امکان جستوجو براى مشاهده چیزهایى را مىدهد که ما قادر به دیدنشان نیستیم.
همانطور که دیدیم، حواس نماینده مستقیم اشیاى مادى در محیط جغرافیایى شان نیستند. پس چنانکه نگرش گشتالتى تأکید مىکند، آنچه ما ادراک مىکنیم مجموعه اى از داده هاى خام از طبیعت نیست؛ بلکه این ادراکات در میدانى حاصل مىشود که شامل طبیعت، مشاهده گر، ابزارهاى اندازه گیرى و محیط فرهنگى اجتماعى خاصى است که مشاهده گر در آن به مشاهده مىپردازد. پس آنچه که اصطلاحاً مشاهدات خالص تجربى مىنامیم، به نظریه هاى موجود در جامعه اى که فرد مشاهده گر در آن آموزش دیده است، بستگى دارد.
منبع
مقدم حیدری،غلامحسین، قیاس ناپذیری پارادایم های علمی، نشر نی